9月も終わり、大分涼しい季節がやって参りました!
私がたまに書いているこのブログですが、先日患者様に読んでいただいているという感想をいただきました!
ありがとうございます!頑張って描こうかと思いますのでそういう感想はお待ちしています。
治療の話も書いていますがたまには違う話も。
先日は横浜の日本デンタルショーに行ってまいりました!
最新の機械や最新の設備などを色々見てきましたが、これからより素晴らしい医院にするためにどうするかを考える素晴らしいショーでした!
これからは患者様がより通いやすい医院になるための施策をもっと考えていこうと強く思いました!
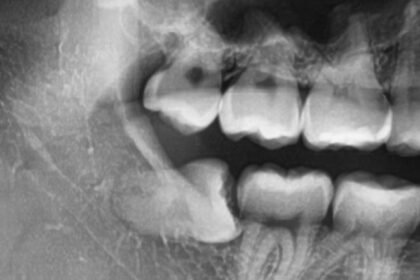
今回は親知らずの抜歯について記事を書きます。
親知らずの抜歯は抜く先生の技術によって痛みの強さが変わります
親知らずの抜歯は痛いというイメージをお持ちの方が多いように感じます。
確かに下の親知らずの抜歯は抜歯後の痛みが避けられないケースがございます。しかし痛みにも程度があり、少しでも痛みが少なくなるようにしたいのであれば、親知らずを上手に抜ける歯科医師に侵襲を少なく抜いてもらう事が非常に大切です。親知らずの抜歯は処置時間が大切で、短ければ短いほど周囲の組織の侵襲が少なく済み、痛みが出る可能性が低くなります。当院ではケースを見極めて院長が対応いたします。当院で対応しきれないケースは然るべき医院に紹介させて頂いて対応させて頂いております。

では、親知らずは抜いたほうがいいの?論文を参考に専門家が解説
「親知らずって、抜いたほうがいいですか?」歯科医院で非常によく聞かれる質問です。多くの人が一度は悩むこの問題について、今回は論文の知見を交えながら、なぜ親知らずの抜歯が推奨されることが多いのか、分かりやすく解説していきます。
結論から言うと、多くの場合、親知らずは将来的に問題を引き起こすリスクがあるため、抜歯が推奨されます。もちろん、まっすぐに生えていて、きれいに歯磨きができていれば問題ないケースもあります。しかし、現代人の顎は小さくなっており、親知らずが正常に生えるスペースがないことがほとんどなのです。
では、具体的にどのような問題が起こるのでしょうか?論文で報告されている主な理由は以下の通りです。
親知らずが引き起こす主なトラブル
智歯周囲炎(ちししゅういえん):繰り返す痛みと腫れ
親知らずのトラブルで最も多いのが智歯周囲炎です。これは、親知らずが完全には生えきらず、歯の一部が歯茎に覆われている場合に起こりやすい炎症です。歯と歯茎の間にできた深い溝に細菌がたまり、体の抵抗力が落ちたときなどに急に腫れたり、強い痛みを引き起こしたりします。
あるシステマティックレビュー(複数の研究を統合して分析した信頼性の高い研究)では、特に**垂直に埋まっている下の親知らず(縦向きに生えようとしている歯)**で智歯周囲炎が起こりやすいと報告されています (Hasegawa et al., 2022)。一度症状が落ち着いても、汚れがたまりやすい構造は変わらないため、何度も繰り返すことが多いのが特徴です。
虫歯:親知らず自身と、その手前の歯まで
親知らずは一番奥に生えているため、歯ブラシが届きにくく、非常に虫歯になりやすい歯です。問題はそれだけではありません。親知らずが斜めに生えていると、手前の健康な歯(第二大臼歯)との間に食べかすが詰まりやすくなり、手前の歯まで虫歯にしてしまうことが少なくありません。
手前の歯は、親知らずがなければ虫歯にならなかったかもしれません。大切な歯を守るためにも、リスクのある親知らずは早めに抜歯することが推奨される場合があります。研究によれば、症状がないまま放置された親知らずも、時間の経過とともに虫歯や歯周病になる確率が高まることが示されています (Ghaeminia, Nienhuijs and Toedtling, 2020)。
歯周病の悪化
親知らずの周囲は清掃が難しいため、歯周病菌の温床になりがちです。親知らず自体が歯周病になるだけでなく、その影響が手前の歯にも及び、第二大臼歯の歯を支える骨を溶かしてしまうことがあります。
実際に、症状があって抜歯したケースでは、抜歯後に手前の歯の歯周病の状態が改善したという報告もあります (Ghaeminia, Nienhuijs and Toedtling, 2020)。これは、原因となっていた親知らずを取り除くことで、口腔内の衛生状態が改善されるためです。
その他のリスク:歯並びへの影響や嚢胞(のうほう)
完全に骨の中に埋まっている親知らずでも、問題を引き起こすことがあります。例えば、前の歯を押し続けて歯並びを悪化させる原因になったり、歯の周りの組織が袋状になって液体がたまる嚢胞という病気を引き起こしたりすることがあります。嚢胞は大きくなると顎の骨を溶かしてしまうため、早期の対処が必要です。
症状がなくても抜いたほうがいいの?
では、今は特に痛みも腫れもない、いわゆる「無症状」の親知らずはどうでしょうか。
この点については専門家の間でも議論があり、「積極的に抜くべき」という意見と「問題が起きてからで良い」という意見に分かれます。
しかし、複数の研究が指摘しているのは、無症状の親知らずも、長期間放置することで何らかの病気を発症するリスクがあるということです。若いうちは抜歯後の回復も早いですが、年齢を重ねてからだと、抜歯がより大変になったり、回復に時間がかかったりする傾向があります。具体的には25歳以上とそれ以下では後遺症の残存のリスクなども変わります。
そのため、将来的なリスクを考慮し、特に以下のような親知らずは、症状がなくても抜歯を勧められることが多いのです。
-
斜めや横向きに生えている
-
歯の一部だけが見えている
-
レントゲン写真で、将来的に問題を起こす可能性が高いと判断された
まとめ:まずはご相談を
親知らずを抜くべきかどうかは、その生え方、現在の症状、そして将来的なリスクを総合的に判断して決める必要があります。今回ご紹介したように、多くの科学的根拠が、問題のある親知らずを放置することのリスクを示しています。
「私の親知らずはどうなんだろう?」と少しでも気になったら、まずはかかりつけの歯科医院で相談し、レントゲン写真を撮ってもらうことをお勧めします。専門家のアドバイスのもと、ご自身の口腔内の健康にとって最善の選択をしてください。
参考文献
Ghaeminia, H., Nienhuijs, M.E.L. and Toedtling, V. (2020) ‘Surgical removal versus retention for the management of asymptomatic disease-free impacted wisdom teeth’, Cochrane Database of Systematic Reviews, (5). doi: 10.1002/14651858.CD003879.pub5.
Stathopoulos, P., Mezitis, M., Kappatos, C., Tsonis, I. and Zitser, E. (2023) ‘A systematic review on the association between lower third molar eruption and anterior crowding’, Journal of Oral and Maxillofacial Surgery, 81(7), pp. 913–922. doi: 10.1016/j.joms.2023.03.003.










