- 2026.02.28ブログ
- 江東区でマイクロスコープ治療をお探しの方へ|精密歯科治療で歯の寿命を守る
- 2026.02.28ブログ
- 東京都江東区で「痛くない虫歯治療」をお探しの方へ|砂町北歯科が解説する最新の痛みを抑える工夫
- 2026.02.01ブログ
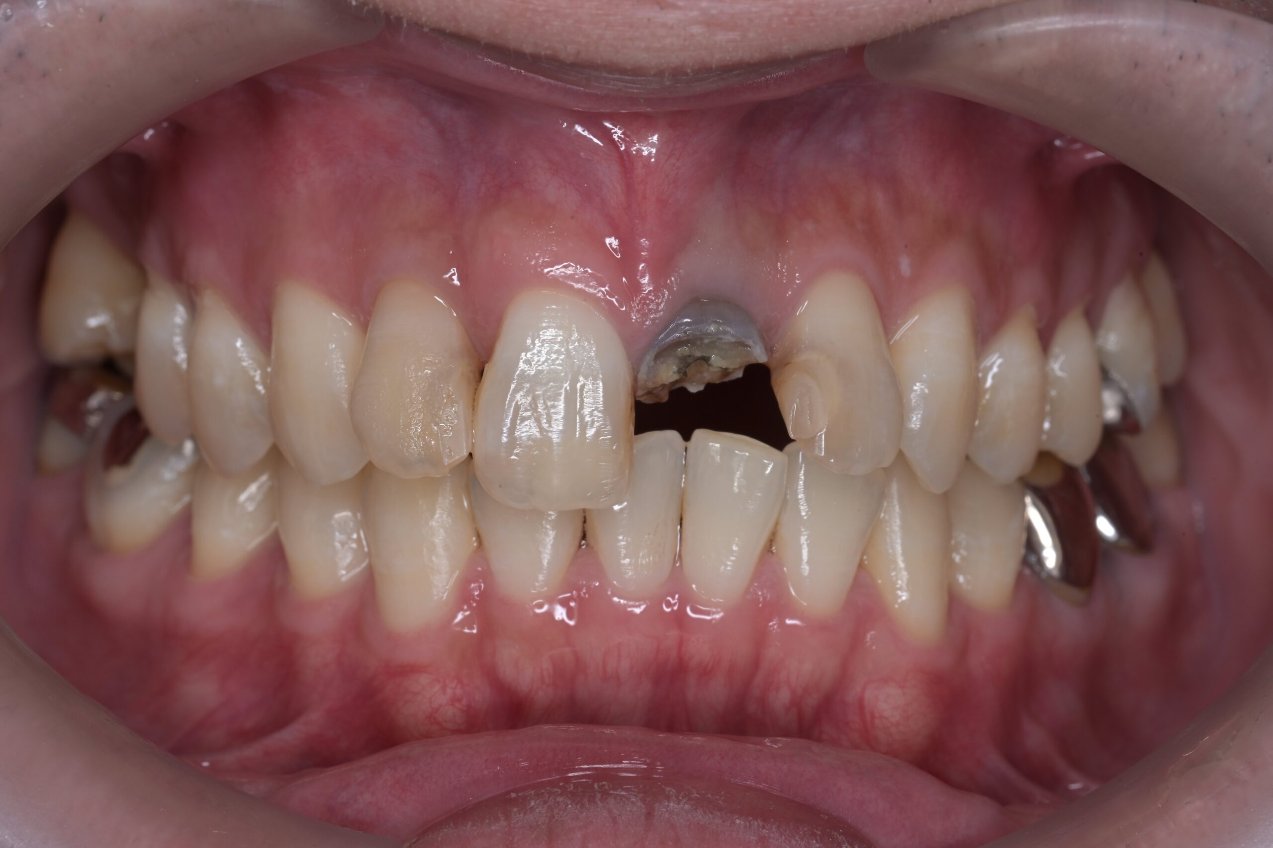
- 歯を残してしっかり噛めるメリット
診療時間表
| 診療時間 | 月 | 火 | 水 | 木 | 金 | 土 | 日・祝 |
|---|---|---|---|---|---|---|---|
| 9:00~13:00 | ● | ● | ● | / | ● | ● | / |
| 14:30~17:30 | ● | ● | ● | / | ● | ● | / |
休診日:木曜日・日曜日・祝日(祝日がある週のみ木曜日あり)
※初診の方の最終受付は16:30まで
診療カレンダー
砂町北歯科の特長


治療例

むやみに歯を削らず
可能な限り歯を残す
エビデンスに基づいた精密治療
患者さまの天然歯をできるだけ残し、必要以上に歯を削らず、科学的な根拠(エビデンス)に基づいて精密な診断と治療を行っています。

専門医との連携により
インターディシプリナリー治療が
可能な歯科医院
インターディシプリナリー治療とは複数の専門家が連携して1人の患者さんの治療を行うチーム医療の形態です。
希望される患者様には矯正歯科、入れ歯(義歯)の治療には専門性の高い歯科医師が対応します。
保険診療から自費診療まで当院で総合的に治療を行うことが出来ます。


セカンドオピニオンにも対応
お悩みを聞かせてください
「セカンドオピニオンを聞くこと=転院すること」ではありません。まずはお話をお伺いします。客観的な立場と視点に立って当院から見た意見を正直にお答えさせていただきます。


赤ちゃんからご高齢の方まで
健康な歯を永く残すための
予防メソッド
10年先を見据えたマタニティの時期から始まる小児のむし歯を作らないマネジメント、歯周病治療を中心とした予防歯科を推奨しています。
生涯ご自身の歯でしっかりお食事が楽しめるよう、虫歯や歯肉炎などの予防管理を徹底しています。
プライバシーに配慮した
個室、半個室の診療室
土足OKの
バリアフリー設定
待ち時間を退屈しない
キッズスペース
赤ちゃん連れでも安心
おむつ交換台












審美性も機能性も妥協しない






















