治療例一覧

2025.08.30

横に生えた親知らずの抜歯

Beofre
After

患者様 20代男性 治療内容 親知らず抜歯 治療期間 1ヶ月 治療計画 ...

2025.08.20

根の治療後セラミックにて回復

Beofre
After

患者様 20代女性 治療内容 セラミック治療、審美歯科 治療期間 1ヶ月...

2025.08.20

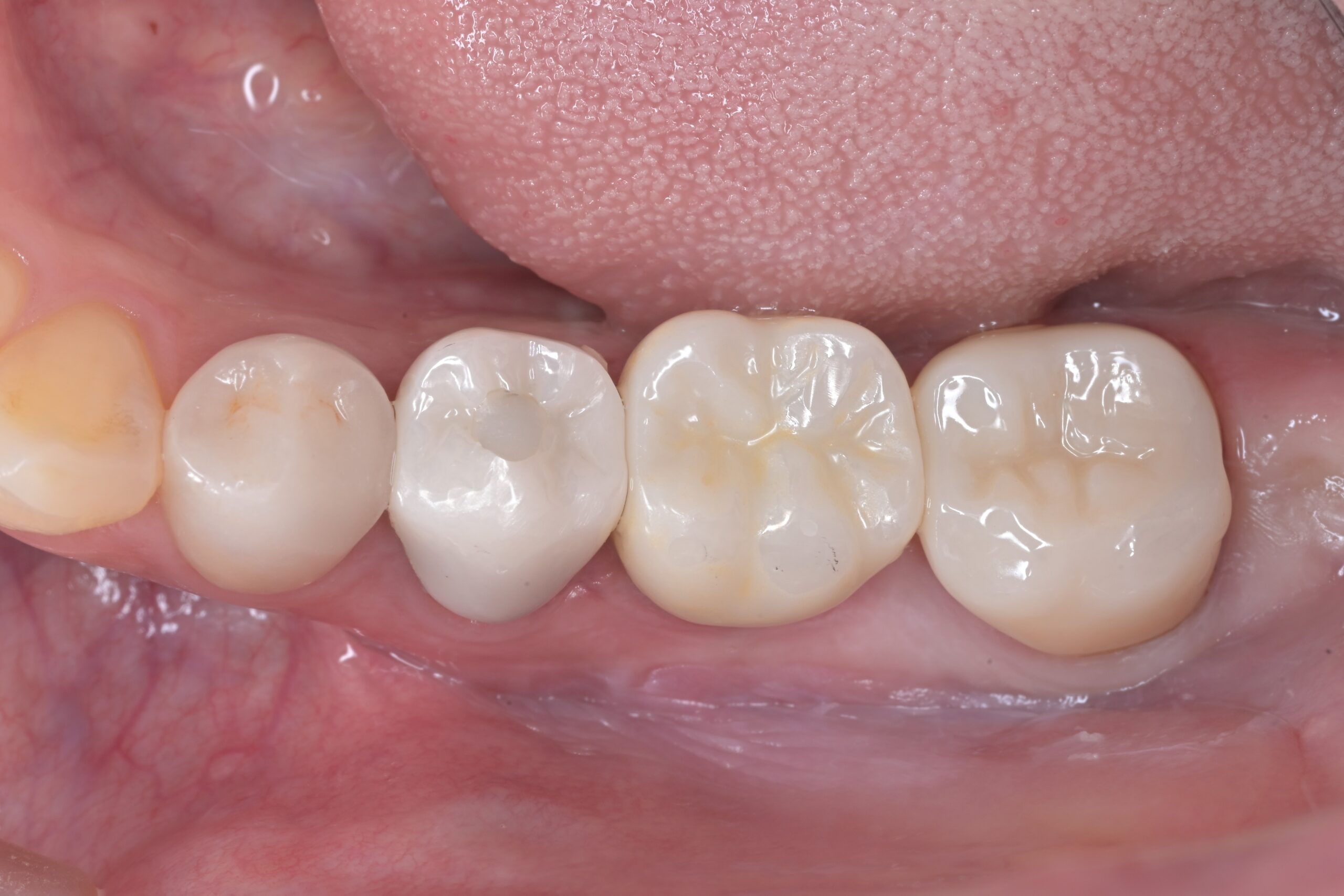
虫歯の治療をセラミックで行う

Beofre
After

患者様 50代男性 治療内容 セラミック治療、審美歯科 治療期間 1ヶ月...

2025.08.20

親知らずの抜歯

Beofre
After

患者様 10代男性 治療内容 親知らず抜歯 治療期間 1ヶ月 治療計画 ...

2025.08.20

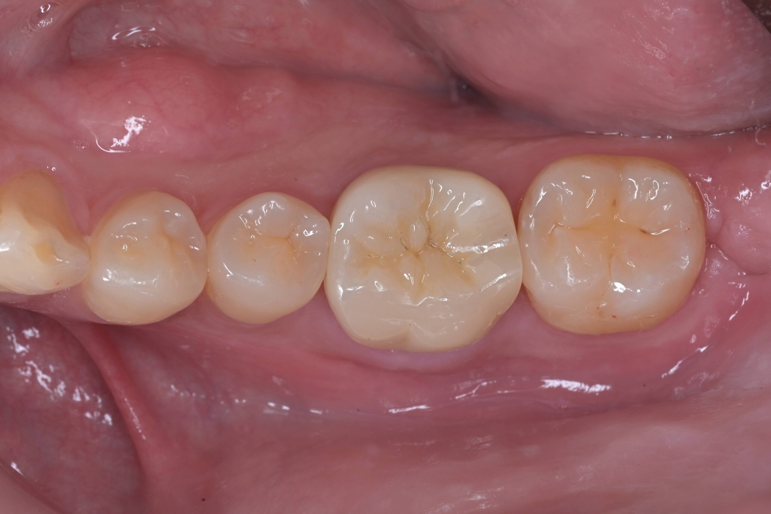
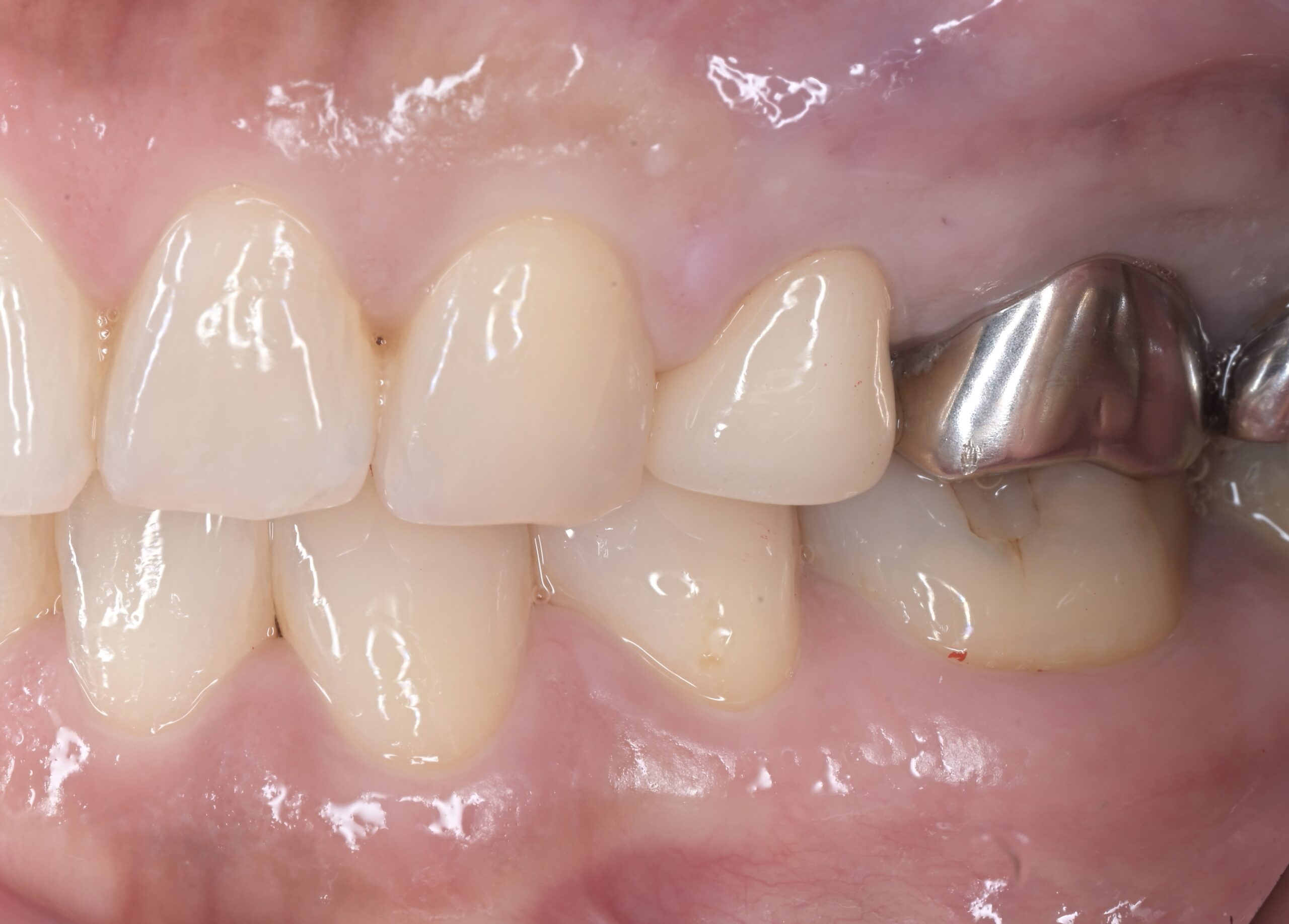
銀歯の虫歯を治療にて回復

Beofre
After

患者様 50代女性 治療内容 セラミック治療 治療期間 1ヶ月 治療計画...

2025.08.19

ホワイトニングで芸能人のように白い歯に!

Beofre
After

患者様 20代女性 治療内容 ホワイトニング 治療期間 1ヶ月 治療計画...

2025.08.18

インターナルブリーチにて前歯の色を改善

Beofre
After

患者様 40代男性 治療内容 ホワイトニング 治療期間 1ヶ月 治療計画...

2025.07.23

インターナルブリーチで白い歯を回復!

Beofre
After

患者様 20代女性 治療内容 ホワイトニング 治療期間 1ヶ月 治療計画...

2025.06.17

割れた歯をインプラントにて回復

Beofre
After

患者様 30代女性 治療内容 インプラント治療 治療期間 5ヶ月 治療計...

2025.05.17

割れた歯でも諦めないで抜歯せずに保存する

Beofre
After

  患者様 50代女性 治療内容  外科治療、セラミック治療 治療期間 ...

1 2 3 4 5 6 15