
| 患者様 | 40代女性 |
|---|---|
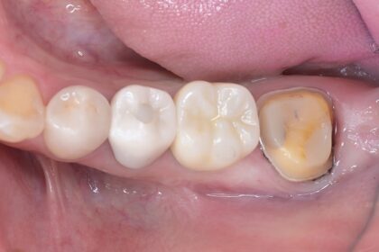
| 治療内容 | セラミック治療 |
| 治療期間 | 1ヶ月 |
| 治療計画 |
昔治療した歯がしみるとのことで来院されました。被せ物が不適で、刺激があったようです。同じ治療でもどのくらいの精度で治療するのかで予後が変わります。 |
| 費用(概算) | 165,000円(治療当時) |
| リスク・副作用など | ・天然歯を削ります。硬い素材は天然歯を傷つけてしまう場合があります。 ・かみ合わせや歯ぎしりが強すぎる方はセラミックが割れてしまう可能性があります。 ・自費診療(保険適用外治療)となります。 ・セラミックの補綴は歯肉にも優しく、生体への親和性も非常に高いため、しっかりとメンテナンスを行うことで長期的な予後が期待できます。 |









